现在的医生都怎么了?离开仪器就不会看病了吗?你考虑什么病就需要做什么检查?如果检查正常你能退钱吗?老百姓的钱就不是钱吗?CT要一千块!你以为老百姓赚钱都和你们一样容易吗?
来源:最后一支多巴胺
凌晨三点,我正趴在电脑前研究着那些没有情节只有骨与肉的片子。
“那个高血压病人自己离开了!”美小护赵大胆有些担忧的说。
赵大胆口中的病人是一个42岁的男性患者,他因为头晕胸闷恶心两小时被家人通过120送进医院。
进入急诊室后,经过检查发现患者的血压已经高达202/120 mmHg,而且心电图也已经明显出现了T波的改变。
我建议患者在降压对症处理的同时完善一些基本的检查,比如头颅 CT,心肌损伤标记物等。
但是,患者却统统拒绝了。
一头雾水的赵大胆忙不迭的问:那你来医院是为什么?
患者一脸不耐烦的回答:我现在觉得好多了!不需要检查,更加不需要用药,我回去躺几天就好了!
类似这样的病人,在门急诊几乎每一天都能够看见。
见惯了因为没有正规控制高血压而发生悲剧的故事,也见惯了那些因为各种谣传或自以为是而一路狂奔在死亡道路的病人。
所以,我看见的不仅是眼前这位急忙来到医院却又拒绝检查治疗的病人,而是一副将死的躯体,而是不久之后就可能出现严重并发症的不幸故事。
可惜的是,无论我费劲口舌,他始终坚持自己的三个错误观念:平日里没有症状,不能随便吃药!血压不能轻易下降,否则自己身体受不了;降血压药不能吃,否则会成瘾。
最终他还是坚持离开了急诊室,留下一句应付我的话:“明天我就去药店买药吃!”。
权且不说他会不会去药店买药,又不论药店会给他推荐什么种类的降压药,或许药店给他推荐可能就是一些可有可无的中成药。
降压方案的制定和调整并不是一件简单的事,更加不是一个短期的事情。
“这样的人不仅愚昧,而且偏执,也可能人家根本就不信任你。”赵大胆说的话引起了我的深思。
其实除了赵大胆说的这样缺点之外,很多人还是有优点的,那就是:明明是自己不愿意配合医生,却又不愿意签字自负责任。
如果你遇见了这样的病人,又该怎么办?
刚工作时,我以为医生是万能的,不为良相便为良医。
后来,我有机会接触了更多的人和事,才知道医生能治病却治不了愚昧。
可是,直到现在我才醒悟:医生根本治不了病,不仅因为大多数疾病原本便无法治愈,也不仅是因为医生治不了愚昧,最重要的医生治不了贫困和人心。
就在这位急匆匆由120送过来,又急匆匆自行离去的高血压患者离开没有多久。
120又给我的夜班增添了一丝忙碌的色彩,被搀扶着走下车的是一名40岁男性患者。
从患者还穿在身上的工作服来看,他是一名附近工厂的普通工人。
同大多数患者一样,已经患有十年的高血压病的他并没有积极正规的控制血压。
7个小时前,他在如厕时突然出现胸痛不适,按照他自己的话说,当时差点晕倒,几分钟后来变成胸痛变成了腹痛。
“我以为是胃病发作呢,吃了两颗胃药后没有任何效果。”因为一年前胃镜检查发现糜烂性胃炎,所以患者始终认为自己只不过是胃病发作。
于是他并没有第一时间来到医院,在口服胃药无效后,又喝了一些生姜糖汁水,不仅没有效果,反而出现了头痛、呕吐、心慌。
凌晨时分患者腹痛难忍,甚至跪在床上,面色苍白,大汗淋漓!
即使如此,他还是拒绝了妻子要求到医院里来的要求。
最后,无奈的妻子只好联系到了患者的父母和弟弟,在一家人的强制下才来到了医院!
有些人不能理解为什么患者疼痛如此严重却不愿意就医?
是因为自己以前有过类似经历还是因为经济原因?
或许这两种原因都存在,但还有一个重要的原因:不相信医院,反感医生。
对于一个有高血压病史的人来说,如果出现“撕裂样”的疼痛,那么很有可能意味着一种死亡率极高的疾病:主动脉夹层!
而最让人担心的便是,这位40岁的年轻患者无意间给自己做出了这样的描述:痛的像被撕开了一般!
我建议这位左上肢血压170/110 mmHg,右上肢血压160/90 mmHg的患者做胸部CT和腹部CT,必要时完善主动脉CTA检查,因为如果是这个死亡率极高的疾病,是需要尽早手术治疗的。
如果是主动脉夹层,对于未接受治疗患者来说,有25%的人在24小时内死亡!50%的患者在一周内死亡!发病一个月后死亡率高达75%!而发病一年后该病的死亡率高达90%!
重要的是该病经常和急性胃炎、急性胆囊炎、肾绞痛、消化性溃疡、急性胰腺炎等可以导致腹痛的疾病相互混淆,从而延误病情!
听说CT检查可能需要将近一千块钱后,患者拒绝了,他坚信自己只不过是胃病发作,充其量不过是严重一点的胃病罢了。
我将自己所考虑的各种可能告诉他,没想到换回来的却是他对我一顿嘲笑和辱骂。
他说:“现在的医生都怎么了?离开仪器就不会看病了吗?你考虑什么病就需要做什么检查?如果检查正常你能退钱吗?老百姓的钱就不是钱吗?CT要一千块!你以为老百姓赚钱都和你们一样容易吗?”。
面对这样的回答,我除了无奈的自嘲又能怎么办呢?
我不知道这位病人,对医院、对医生有多么深的误解?
我只知道,作为医生,我的主要工作就是第一时间明确诊断,治病救人。
我告诉他:“我有义务将自己考虑到东西告诉你,你有权利来了解这些。至于你是否接受我的建议,则是你自己的事情。至于价格是由领导和物价局核定的,我没有资格过问参与。现在你的病情如此,该做的检查还是需要做,否则延误病情或诊断错误带来的后果谁也承担不起!”。
他很蔑视的看着我说:“难道我自己的病情,我自己不清楚吗?如果我是这么严重的疾病,还能站在这里吗?你吓唬我又是为什么呢?我自己签字,一切后果自己承担”。
赵大胆插话道:“医院又不是医生开的,想收你多少钱就收你多少钱?总不至于,你来看病,医生还要给你钱吧?”。
我拒绝了他签字自负责任的要求,因为如果真的是主动脉夹层被延误诊治的话,就会是一条性命的严重问题。
患者自己付不起这个责任,我也付不起这个责任,病历上的签字有时候并没有多少法律意义。
如果放任患者自行离开,一旦发生了死亡,很可能就是一场旷日持久的官司。而且作为医生,这也是一种极其不负责任的做法,因为既然你已经考虑到了这种可能,就应该千方百计让患者明白、理解,让他去配合检查治疗。
更何况,还会有人说:“你们是医生你们懂,我们老百姓又不懂!。”
纵然我和赵大胆软硬兼施,患者依旧保持着执拗的脾气。
妻子站在一边抹着眼泪劝说他做这些检查:“你不做检查,医生怎么看病?”。
弟弟也说:“到医院里来了,就听医生的,如果你什么都懂,还要医生做什么?”。
父亲则直接告诉我:“不要听他的,该做什么检查就做什么,该用什么药就用什么!”。
“做这些CT有什么用?我是胃病,胃病最好做胃镜!我现在只要求你给我挂点止痛的药水。”面对家人的态度,患者屈服了,却又提出了这样的要求。
在我和他反复的交锋中,时间已经度过了40分钟。
“输液可以,但必须要明确诊断。”
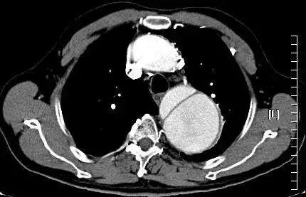
很快便完成了一系列的检查,果然同我心中的预测一样:主动脉夹层!
患者不仅是主动脉夹层,并且已经撕裂到腹主动脉!
而所谓主动脉夹层是由于血液通过动脉内膜破口进入主动脉壁中层形成夹层血肿,并且延伸剥离而引起的严重心血管急症。
高血压是该病的最常见的病因,有一半以上的患者都是由高血压引起的。
对于那些合并剧烈胸痛、后背痛、腹痛、晕厥的患者,特别是有高血压、糖尿病病史,自己描述有“撕裂样”疼痛感的患者,一定要第一时间排除主动脉夹层的可能!
明确诊断后,治疗上当然就不是镇痛/降压/控制心率等那么简单了,患者被转到血管外科接受手术治疗。
一周后患者便出院了,他特意来到急诊,找到我,拉住我的手说:“医生,真是对不起,要不是你的话,我可能就死在家里了”
其实,我根本就没有将他的抱怨放在心中。不是因为我大度,而是因为日常工作中这样的事情太多了,早已习以为常。
当然,我心中的小人还在这样说着:“我坚持的不是做检查,而是原则。我救下的也不仅是病人,还有我自己。”
听见这个病人康复出院的消息后,赵大胆故作高深的问:“如果这个病人最终没有检查,死在了家里,或则死在了检查的途中,你又会是什么样的遭遇?”
“我有那么倒霉吗?”虽然嘴巴上这样问答着赵大胆,但是后背发凉的感觉却一直如影随形的伴随着始终战战兢兢,如履薄冰的我。
其实防治主动脉夹层最好的方法就是积极有效的控制住高血压/动脉粥样硬化等慢性病,一旦出现胸痛特别是有“撕裂样”的胸痛腹痛要第一时间来到医院。




