大家好,我们是大家体内的肾脏,一般是兄弟俩,我们大体看起来神似蚕豆,紫红色,大小和重量随着年龄性别而异,我国成年人肾的长宽厚大约为10-12厘米,5.0-6.0厘米和3.0-4.0厘米。男
2021-04-25 14:19:14
正常来说,肝癌患者到中晚期时才会出现肝腹水,早期肝癌或者肝功能没有受到影响时一般不会造成肝腹水。当肝癌发展到一定程度,肝脏功能受到严重破坏,体内合成白蛋白的能力下
2021-04-25 14:19:02
让我们一起了解一下肾脏疾病尿毒症吧~ 01、尿毒症不再是夺命绝症 近年来,我国政府关注民生,已将尿毒症纳入十种大病保险,目前它早已不再是夺命绝症。 国际上透析患者最长可以
2021-04-25 14:18:49
凛冬已去,暖春到来,在这草长莺飞的春季,也是人们解放天性的大好时光。试问,有谁不喜欢在这个温暖的季节,穿上能够展现自我的衣衫,邀上亲朋好友一同出游?然而,气候的变
2021-04-25 14:18:36
这几年越来越多的城镇开设了透析治疗中心,在各地引发讨论,肾病真的来到家门前了吗? 透析患者平均年龄偏年轻,仅为50岁左右。肾病影响患者身心的同时,也冲击着其上下两代亲
2021-04-25 14:18:17
从古至今,鸡蛋可能是探望病人时最常见的礼物,后来,牛奶、奶粉、蛋白粉种类丰富起来,但蛋白仍在人们心中占有重要一席。 蛋白质真的非常重要!这缘于蛋白质是生命的物质基础
2021-04-25 14:18:02
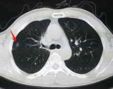
肺作为人体最重要的呼吸器官,是维持人体正常功能的必要保障。然而近些年来,越来越多的人肺部出现问题,不仅肺癌变得越来越高发,而且随着螺旋CT等检查手段的应用,很多人也
2021-04-25 14:17:47
28岁的小张,早几年大学毕业后,没有像大家一样选择进入单位工作,而是选了自己创业。虽然几经波折,但是经过小张的努力,现在他的电商公司也算是基本步入正轨,实现盈利,为
2021-04-25 14:17:26
从古至今,人类的医疗技术在不断发展,但是癌症依旧是难以攻克的一类病症。这是因为癌症在早期发作时,症状并不明显,难以被人察觉。而等到患者身体出现明显不适症状时,病情
2021-04-25 14:17:12
体质目前共分为9种,8偏颇1平和,而气虚体质居于八种偏颇体质之首,在我国亚健康人群中占比约为12.71%,由此可以看出其影响人体健康的重要程度。 如何辨识气虚体质 气虚体质是由
2021-04-25 14:16:57
炒菜的时候有许多需要注意的地方,一些看似不起眼的炒菜习惯,影响的不仅仅是菜的味道,还会损害你的健康,甚至增加患癌风险。 这5个容易伤害身体健康的炒菜坏习惯,赶紧来看
2021-04-25 14:16:35
什么是轻断食减肥法 轻断食即间歇性断食,主要有以下几种形式。 ●日内断食:一天中只有8小时正常进食,另外16小时禁食。 ●周内断食:一周中,一般选择不连续的2天断食,这两天
2021-04-25 14:16:21
天气渐暖,春暖花开的同时,细菌也开始悄悄地活跃起来。宝宝肠胃虚弱,实在经不起细菌的折腾,稍有不慎,就会有拉肚子的可能。宝宝拉肚子,应该进食还是禁食?实际上,在宝宝
2021-04-25 14:16:07
小儿天性惧药怕苦,食疗由于色味俱佳,更容易为小儿接受,能在不知不觉中补充所需要的营养物质,还可以起到祛病强身的功效。在饮食疗法中最常用的是汤方,汤方也是岭南地区食
2021-04-25 14:15:53
脑中风想必大家应该都不陌生,这是我国中老年人最为高发的心脑血管病! 脑中风在临床上的全称为脑卒中,它覆盖了多个脑血管病变,这种病变可大致分为两部分,也就是缺血性以及
2021-04-25 14:15:35
#图文创作打卡挑战活动# 有位患者朋友问我,乙肝大三阳的病情发展,是一定要经过肝硬化,才能到肝癌阶段,还是不经过肝硬化就可能直接发展为肝癌?通过定期检查,是不是就能预
2021-04-25 14:15:20
恶性肿瘤 至今为止尚未发现可以根治恶性肿瘤的方法,肿瘤的转移和复发仍然是一个无法避免的问题,带瘤生存的概念由此提出。 无瘤生存和带瘤生存 带瘤生存是相对于无瘤生存而言
2021-04-25 14:15:05
高尿酸血症 高尿酸血症是人体内嘌呤代谢紊乱、血液中尿酸增多而引起的一种疾病。最新流行病调查显示,我国有1.8亿人患高尿酸血症,它已成为继高血压、高血脂、高血糖之后的第四
2021-04-25 14:14:01
一、早发现早治疗很关键1、早期患者:5年生存率可高达80%到目前为止,放疗是治疗鼻咽癌最有效的一种方法,因为放疗具有更好的生物学效应以及剂量学的优势,所以有相当大的一部分 ...
2021-04-24 17:47:35
困了来一杯,想喝了来一杯,那长期喝咖啡可给人带来哪些影响呢?怎么喝才健康?听说还会致癌?一、为啥喝咖啡会让人亢奋?回答这问题前,我们先来了解下疲劳是怎么产生的。因 ...
2021-04-24 17:47:07